martes , 21 abril 2026
Inicio » especialcancer » Contenidos » Noticias (Página 3)

Noticias

LA TEORÍA INTEGRAL U “HOLÍSTICA”

El buen funcionamiento de todo el organismo es la clave de la salud. Si el medio, en su totalidad, no está sano, la enfermedad es inevitable, y no se debe únicamente a la existencia del agente invasor, sino al desequilibrio y desnutrición del medio: “el todo”. La salud es un estado integral que se caracteriza por la estabilidad y el …

Leer Más

LOS PROTIDOS (proteínas)

Funciones; fuentes: Son, por así decirlo, los ladrillos de nuestro organismo y representan los factores de edificación indispensables. Entran igualmente en la composición de nuestras enzimas y, sobre todo, de nuestros jugos gástricos, pero tienen además otras funciones vitales. Los prótidos se encuentran en la mayor proporción en: la carne y el pescado, los huevos y el quso, los frutos …

Leer Más

LA FORMACIÓN DE LOS RADICALES LIBRES

La conversión de los alimentos en energía en nuestro cuerpo se lleva a cabo en orgánulos: estructuras minúsculas del interior de nuestras células denominadas mitocondrias. Podríamos imaginar las mitocondrias como “pequeños hornos” que toman unos alimentos descompuestos en su estructura química básica y combinan luego estos elementos químicos con oxígeno y producen agua y energía. El problema radica en el …

Leer Más

EL BISMUTO

El bismuto, un metal pesado del que hasta ahora no se conoce ninguna función corporal de utilidad, produce también trastornos mentales. Se ha descubierto que la utilización de sales de bismuto o de preparados que contengan dicho mineral, como supositorios rectales, puede producir una intoxicación que se asemeja a la enfermedad mental. El uso oral repetido del bismuto en cual …

Leer Más

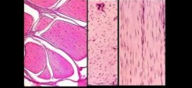
ATROFIA MUSCULAR

La falta de desarrollo o encogimiento de tejidos (las arrugas son una muestra de ello) se debe principalmente a dos causas principales: una, que la alimentación sea inadecuada en calorías o en su contenido del resto de nutrientes; otra, a una falta de circulación sanguínea, la cual provoca una disminución en el aporte de oxígeno, así como en materiales nutritivos. …

Leer Más

LOS CEREALES REFINADOS

Entre un tazón de copos de cereales integrales y un trozo de pan blanco (es un pan elaborado con harina refinada), existen tantas diferencias que un análisis concluiría que se trata de dos alimentos completamente distintos. Mientras, los cereales integrales nos aportan importantes vitaminas, minerales y oligoelementos, y una buena cantidad de fibra natural, los derivados hiperprocesados y refinados hasta …

Leer Más

PRODUCTOS TORREFACTADOS Y AHUMADOS

Evite a toda costa el consumo de productos torrefactados (como el café, malta, cacahuetes, almendras, maíz y semillas y pipas en general) y ahumados. Ambas formas de preparación transforman el alimento en cancerígenos altamente peligrosos. Los fritos de carnes grasas deben ser proscritos, así como la parrilla para las carnes, pues dan lugar a sustancias mutágenas aún no identificadas pero …

Leer Más

LOS MEDICAMENTOS Y SU RELACIÓN CON LA OBESIDAD

Sabemos sobradamente que muchas obesidades están producidas por medicamentos y, para que usted obtenga una mejor orientación, he aquí los más habituales. Se nombra el principio activo químico, no el nombre o marca comercial. Estimulan el apetito: Alcohol, insulina, esteroides (se utilizan para aumentar la masa muscular), hormonar tiroideas, psicótropos (antidepresivos), medicamentos para la ansiedad, nerviosismo, antihistamínicos, etc. Disminuyen el …

Leer Más

EL POLVO

El polvo de hoy no es el que limpiaban nuestras abuelas. Actualmente, junto sus componentes habituales, fragmentos de tierra, bacterias, moho, partículas de animales, etc, encontramos numerosas partículas de agentes contaminantes tales como sustancias cancerígenas de los humos de vehículos y tabaco, plomo, amianto, dióxido de azufre, aerosoles, plástico, productos de limpieza, radón procedente del cementos (un gas radioactivo), ambientadores …

Leer Más

LAS TRES CATEGORIAS DE PROTEINAS

1) Las proteínas de primera clase o completos: son aptos para satisfacer todas las necesidades de nitrógeno del organismo. Contienen todos los aminoácidos dispensables para la vida: valina, treonina, leucina, isoleucina, metionina, fenilalanina, triptófano y lisina. Cuando uno de estos aminoácidos indispensables no es facilitado en cantidad suficiente en la ración alimenticia, los otros aminoácidos quedan sujetos al riesgo de …

Leer Más

EQUILIBRIO SANO PARA EL CUERPO

La consecuencia y consecución de la salud empieza por aportarle al organismo todo lo necesario para su correcto funcionamiento. Esto significa mantener un equilibrio entre la actividad y el descanso, entre el calor y el frio, la gordura y la delgadez. Todos los extremos conducen al desequilibrio y a la enfermedad. La fatiga y la hipertermia suponen una carga para …

Leer Más

LA LECHE Y SUS TRASTORNOS SOBRE LA SALUD

Nadie podría negarle a la leche de vaca su alto valor en nutrientes que posee. Un buen vaso de leche entera natural de vaca de pastoreo, contiene más albúmina que un huevo, tanta grasa saludable como una cucharada de mantequilla, unos 12 gramos de lactosa, aparte de ciertas vitaminas, minerales y proteínas. Desgraciadamente, el hombre adulto es incapaz de asimilar …

Leer Más

LOS RITMOS CIRCADIANOS

La palabra circadiano significa «alrededor del día». Los ritmos circadianos son los acontecimientos rítmicos de diversas funciones del cuerpo en determinados momentos durante cada período de veinticuatro horas. Nadie pone en duda la existencia de tales ritmos, y existen muchísimos estudios de ellos, un vistazo al catálogo de cualquier biblioteca médica revela la existencia de centenares de libros sobre los …

Leer Más

COMER BIEN ES VIVIR BIEN

Nuestro cuerpo se nutre exclusivamente a través dos fuentes: la alimentación, que nos aporta la energía, antioxidantes, fitoquímicos esenciales, la energía y los elementos básicos para desarrollar nuestras funciones vitales, y la respiración, que nos proporciona el oxígeno necesario para la sobrevivencia. El ser humano, al igual que todos los seres vivos que habitamos en la tierra, necesita abastecerse de …

Leer Más

AZUCARES CARAMELIZADOS

Según los estudios del Sr Salvador Gregori y H. F. Stich, del British Columbia Research Center, numerosos tipos de azúcar caramelizada pueden llegar a provocar mutaciones. Gregori y Stich comprobaron que caramelos y azúcar quemada con el que se rocían los flanes, cremas, a base de sucrosa, glucosa, fructosa, maltosa y demás tipos de azúcares provocaban mutaciones en cultivos de …

Leer Más

MARIHUANA (MARIA) (Cannabis Sativa)

El cáñamo (cannabis en latín) Marijuana, Mariguana o Marihuana (Nombre científico: Cannabis Sativa): Planta de la familia de las risotadáceas, pariente del lúpulo, de color verde esperanza y que se caracteriza por sus hojas aserradas gladioformes es una de las plantas que primero comenzó a cultivar el hombre. Hacia el 3.700 A.C. su cultivo se había expandido desde su área …

Leer Más

PESTICIDAS Y CANCER

En la actualidad los investigadores están intentando medir los efectos de la polución global ocasionada por dichos pesticidas químicos. En estudios llevados a cabo en animales, la exposición a algunos de estos pesticidas induce el desarrollo de cáncer de mama, y ayuda al crecimiento y al desarrollo de los tumores en general. La mortalidad de las mujeres premenopáusicas a causa …

Leer Más

DIAS DE SMOG

Con este término se denomina al conjunto de niebla, polución y humo producidos por las industrias y los residuos de los combustibles de los vehículos. Es una palabra inglesa que proviene de la unión del vocabulario smoke, que quiere decir humo, y fog, que quiere decir niebla. Las sustancias contenidas en el smog son partículas gaseosas y sólidas. Si se …

Leer Más

LA FALTA DE COMUNICACIÓN

Vivimos en una sociedad individualista y curiosamente solitaria. ¿A cuántas de las personas con las que hoy se ha cruzado por la calle, conocía usted, siquiera de vista? La masificación de las ciudades y la delincuencia nos ha llevado a convertirnos en seres desconfiados y faltos de comunicación. Si tiene usted la ocasión de visitar alguna vez algún pequeño pueblecito …

Leer Más

CULTIVOS AL LADO DE LA CARRETERA

¡Deberían ser prohibidos! Todos hemos visto el polvo grisáceo, sucio, que se acumula a los lados de la carretera con fuerte tránsito. Si fijamos nuestra atención en una planta de malva que se esfuerza por sobrevivir entre una tapia y el borde de una carretera, veremos cómo apenas se aprecia el verde de sus hojas, sofocado por una capa de …

Leer Más